睡眠歯科治療
今まで歯科治療で辛い思いをしませんでしたか?
歯の治療はどなたにとっても楽しいものではありません。今までは必死の思いで我慢をされていらっしゃった方に特別な治療メニューをご提供いたします。
特に、下記のような患者様は、睡眠歯科治療により、ウトウトとした意識の薄い間に歯科治療を終わらせる方法をおすすめします。
◆歯科治療がとにかく怖い…
歯の治療はどなたにとっても楽しいものではありません。今までは必死の思いで我慢をされていらっしゃった方に特別な治療メニューをご提供いたします。
特に、下記のような患者様は、睡眠歯科治療により、ウトウトとした意識の薄い間に歯科治療を終わらせる方法をおすすめします。
◆歯科治療がとにかく怖い…
◆ドリルの音を聞くだけで鳥肌が立つ…
◆「痛い」と言っても「我慢してください」と言われトラウマになった…
◆治療中にオエっとなった経験がある…
◆抜歯や神経の治療だけでも眠った状態で治療してほしい…
◆とにかく痛くない方法で治したい…
睡眠歯科治療とは?
睡眠歯科治療は、鎮静薬を静脈に点滴し半分眠っているような状態を作ることで感覚を鈍らせ、痛みへの不安や恐怖心を和らげる効果があります。全身麻酔のように完全に意識がなくなる訳ではないので、呼びかけに応じらながら歯科治療を受けていただくことができます。
当院では日本歯科麻酔学会の静脈内鎮静法ガイドラインに沿った麻酔および処置を行っております。
睡眠歯科治療7つの特長
1. 日帰り治療
睡眠歯科治療は、全身麻酔ではありませんので、治療が終了して少し休憩されたらお帰りいただくことができます。2. 睡眠歯科治療

3. 安全性に配慮した診療体制

4. 健忘作用で嫌な記憶なし
治療途中で覚醒傾向(やや起きてしまう状態)になったとしても、麻酔薬の健忘作用(忘れてしまう作用)により治療中の記憶はほとんど残りません5. 持病があっても可能
高血圧や糖尿病をお持ちの方でも、血圧や脈拍が安定した状態で治療を受けることができます。6. 短期集中治療・少ない来院回数での治療が可能
長時間の治療により、短期集中治療や少ない来院回数での治療完了が可能となります。7. 診療時間に応じた料金体系
最低でも90分の治療時間をお取りするため、無駄な麻酔費用はかかりません。ティーズ銀座デンタルクリニックでは、医科大学・歯科大学病院麻酔科での経験がある歯科医師が治療します。
治療の流れ
-
STEP.1問診健康状態のチェックを行います。
-
STEP.2ご説明本日行う処置のご説明と、次回以降の治療予定をお話しします。
(麻酔剤を点滴する前にご説明します。点滴後にご説明しても忘れてしまうからです)
-
STEP.3点滴麻酔麻酔剤を点滴で注射して、ボーっとした状態になっていただきます。
(お酒をたくさん召し上がってうたた寝したような状態です)
-
STEP.4歯茎麻酔睡眠状態(半睡眠状態)になったのを確認してから、治療部位の歯茎麻酔を行います。
-
STEP.5歯科治療呼吸状態や心拍数、血圧などをモニタリングしながら歯科治療を行います。
-
STEP.6治療終了・休憩治療終了後は、必要に応じて拮抗薬(麻酔の作用を減弱させるお薬)の投与を行い、ご自身の力で立ち上がれるまでゆっくりお休みいただきます。
-
STEP.7治療内容のご案内本日行った治療内容、予想されるお痛みや偶発症、次回以降の治療予定のご説明を行いお帰り頂きます
睡眠歯科治療が適している方
通常の治療よりもリラックスして治療ができる「睡眠歯科治療」で、お口の健康を取り戻してみませんか。
下記のようなお悩みをお持ちの患者様は「初回お試し1時間30分コース」の歯科治療を是非ご体験ください。
◆歯科治療が怖すぎて、今まで歯医者に行くことすらできなかった方
親知らず抜歯をご希望の方は初回お試しコースの対象外とさせて頂いておりますので予めご了承ください。
睡眠歯科治療は、複数のスタッフで対応させていただくため、1日に診察させていただく人数を制限させていただいております。
下記のようなお悩みをお持ちの患者様は「初回お試し1時間30分コース」の歯科治療を是非ご体験ください。
こんな方に最適です。
◆歯科治療が怖すぎて、今まで歯医者に行くことすらできなかった方
◆歯がボロボロになってしまい、見せるのさえ恥ずかしいと思われている方
◆インプラント手術をしたいのだけれど、骨を削るような治療に強い恐怖心や不安を抱えている方
◆嘔吐反射があり、歯科治療ですぐにオエッとなってしまう方
親知らず抜歯をご希望の方は初回お試しコースの対象外とさせて頂いておりますので予めご了承ください。
睡眠歯科治療は、複数のスタッフで対応させていただくため、1日に診察させていただく人数を制限させていただいております。
治療例
![]() |
![]() |
![]() |
|
|
|
35歳(男性) 主訴:前歯を綺麗にしたい 状態:前歯の多数歯に渡る虫歯状態。歯冠崩壊によって正中線が左側にズレている。 |
睡眠歯科治療の回数:4回 オールジルコニアクラウン(5年保証) 13万2千円×6本=合計79万2千円(税込) |
治療の選択肢
1、虫歯部分のみを削合しコンポジットレジン(保険適応内)による保存修復処置を行う
| メリット |
・保険範囲内なので比較的安価な治療費で済む ・虫歯部分のみを削合するため、健全な歯質を温存できる |
| デメリット |
・ズレてしまった正中線の修正が困難 ・色調や形は改善することが困難 |
2、前歯の審美性を向上させるため、セラミッククラウンによる審美修復処置を行う
| メリット |
・人工歯の色調や形をご希望に沿った形で製作できるため、見た目の回復が可能 ・出歯や隙歯の修正もある程度可能 |
| デメリット |
・健全な資質も削合しなければならず、歯の状態によっては歯の神経を除去(抜髄)処置が必要な場合がある ・自費診療となるため、費用は高額になる ・歯ぎしりなど噛み合わせによっては人工歯が欠けるリスクがある |
この患者様は接客業のため、歯を見せて会話ができるようになりたいとの理由から2のセラミッククラウンによる修復処置を選択されました。
![]() |
![]() |
![]() |
|
|
|
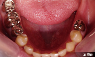
45歳(女性) 主訴:奥歯にインプラント治療をしたい 状態:数年前に左下大臼歯2本を抜歯し、そのままの状態にしていた。 |
睡眠歯科治療の回数:1回 インプラント2本(ノーベルバイオケア社製)+マルチユニットアバットメント2本+オールジルコニアクラウン2本 合計90万2千円(税込) |
治療の選択肢
1、部分入れ歯(部分義歯)による咬合回復治療
| メリット |
・保険適応内の部分義歯なら費用が安価 ・数週間〜2か月程度で治療が終了できる |
| デメリット |
・義歯安定のため周囲の歯を少量削合し金具を掛けるため、健康な歯に負担がかかる ・反対側(右側)にまで金具を掛けるため、異物感が大きい |
2、インプラント(人工歯根)埋入による咬合回復治療
| メリット |
・歯を失った部分のみの治療で他の歯に負担をかけない ・異物感が少なく、天然歯と同等の咬合圧に耐えられる |
| デメリット |
・最低でも2か月〜4か月程度の治療期間が必要で、骨移植などが必要な場合1年以上の治療期間を要する場合がある ・解剖学的条件によっては下歯槽神経麻痺や上顎洞炎などの偶発症が生じる恐れがある ・骨の条件によってはインプラントが骨に癒合しない場合がある ・メンテナンスが不良な場合、インプラント周囲炎が生じ最悪の場合インプラントが脱落する可能性がある ・重度の糖尿病や虚血性心疾患などの持病をお持ちの患者様には行えない場合がある |
この患者様は若干の嘔吐反射があり、以前に部分入れ歯も試したが気持ち悪かったとの理由から2のインプラント治療を選択されました。
![]() |
![]() |
![]() |
|
|
|
30歳(女性) 主訴:歯並びを治したい 状態:若干の虫歯はあるものの比較的健全な歯質だが、患者様は歯の色調と歯並びを悩んでいる |
睡眠歯科治療の回数:7回(奥歯の治療を含む) ジルコニアオールセラミッククラウン(5年保証) 18万7千円×6本=合計112万2千円(税込) |
治療の選択肢
1、矯正治療による歯並び修正
| メリット |
・前歯の健全な歯質を削合せずに歯並びを奇麗にできる |
| デメリット |
・歯の色調や形は変えられない ・状態によってはスペース確保のため小臼歯を便宜抜歯する必要がある ・治療期間が1年〜3年程度要する |
2、セラミッククラウンによる審美修復処置
| メリット |
・人工歯の色調や形をご希望に沿った形で製作できるため、見た目の回復が可能 ・出歯や隙歯の修正もある程度可能 |
| デメリット |
・健全な資質も削合しなければならず、歯の状態によっては歯の神経を除去(抜髄)処置が必要な場合がある ・自費診療となるため、費用は高額になる ・歯ぎしりなど噛み合わせによっては人工歯が欠けるリスクがある |
この患者様は前歯にコンプレックスを抱いており、可能な限り白く奇麗な前歯にしたいという強いご希望があったため、2のセラミッククラウンによる審美修復処置をご希望されました。
睡眠歯科治療の麻酔料金
睡眠歯科治療では、【治療費】+【下記の麻酔料金】のご費用がかかります。
診療の詳細は、当クリニックスタッフまでお問い合せください。
自費診療の患者様には、処置内容によって無料で30分の延長をさせていただく場合がございます。
親知らずの抜歯をご希望の方は初回お試しコースの対象外とさせて頂いておりますので予めご了承ください。また、神経損傷のリスクがある場合は当院での抜歯が不可能なケースもございます。
コース時間はご説明〜覚醒までのお時間を含んだ時間となります。処置内容によっては予定時間よりも早く終わる場合がありますが、麻酔費用の割引はございませんのでご了承ください。
診療の詳細は、当クリニックスタッフまでお問い合せください。
自費診療の患者様には、処置内容によって無料で30分の延長をさせていただく場合がございます。
親知らずの抜歯をご希望の方は初回お試しコースの対象外とさせて頂いておりますので予めご了承ください。また、神経損傷のリスクがある場合は当院での抜歯が不可能なケースもございます。
コース時間はご説明〜覚醒までのお時間を含んだ時間となります。処置内容によっては予定時間よりも早く終わる場合がありますが、麻酔費用の割引はございませんのでご了承ください。
※インプラント埋入手術および骨移植手術につきましては60分の延長を無料でお付けいたします。
※前々日までのキャンセル料は無料といたします。
※前々日までのキャンセル料は無料といたします。
睡眠歯科治療の治療例
初回お試し1時間30分コースで可能な治療例 |
| ・2〜3本程度の虫歯治療や審美治療(歯の状態による) 初回は鎮静度を判定しながら慎重に行うため通常の1時間30分コースよりも少ない治療となります。 PMTC、インプラント埋入手術、親知らずの抜歯は本コースの対象外とさせていただきます。 |
1時間30分コースで可能な治療例 |
| ・2〜4本程度の虫歯治療や審美治療(歯の状態による) ・上下すべての歯の歯石除去+クリーニング(PMTC) ・2本までの単純なインプラント埋入手術 など |
2時間30分コースで可能な治療例 |
| ・4〜8本程度の審美治療(歯の状態による) ・上下すべての歯の歯石除去+クリーニング+ホワイトニング(20本) ・2本以上のインプラント埋入手術や抜歯即時インプラント埋入手術 ・骨移植手術、サイナスリフト手術 など |
ご注意
処置当日は処置開始5時間前からお食事をお控えください。お茶やポカリスエットなどは3時間前まで飲んでいただいて結構です。
コンタクトレンズは外し、マニキュアはモニタリングの妨げとなりますので落としてください。
妊娠中の方、18歳未満の方のご利用はできません。
小顎症など気道確保に障害のある方のご利用はできません。
重度の心疾患、肝疾患、腎疾患のある方には事前に専門医との診療情報交換をさせていただきます。
当日の車の運転や自転車の運転はできません。
万一、事故等を起こされましても当院は責任を負いません。
使用する麻酔薬に対するアレルギーのある方には使用できません。
向精神薬を内服されている場合には使用できないことがあります。
睡眠歯科治療 主なリスク・副作用など
医療広告ガイドラインに基づき、睡眠歯科治療についてのリスク・副作用について記述いたします。
当院では、下記のようなリスクや副作用が起こらないよう、事前診査・診断、治療計画をしっかりと行い、安全性を重視した治療を心がけております。
◆睡眠歯科治療は、自費診療となり健康保険対象外です。
◆全身麻酔より麻酔のリスクは少ないのですがゼロではありません。
◆稀に呼吸や血圧に影響する場合もあります。
◆鎮静法についての知識・経験を持った医師が立ち会うことが必要です。
◆何かトラブルが生じた場合に対応できる設備が必要です。
当院では、下記のようなリスクや副作用が起こらないよう、事前診査・診断、治療計画をしっかりと行い、安全性を重視した治療を心がけております。
◆睡眠歯科治療は、自費診療となり健康保険対象外です。
◆全身麻酔より麻酔のリスクは少ないのですがゼロではありません。
◆稀に呼吸や血圧に影響する場合もあります。
◆鎮静法についての知識・経験を持った医師が立ち会うことが必要です。
◆何かトラブルが生じた場合に対応できる設備が必要です。





















