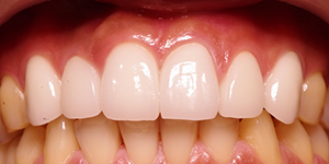
審美治療とは?
ティーズ銀座デンタルクリニックでは、審美治療をご提供しています。
単に美しさを求めるのではなく、その目的や役割を下記でご説明いたします。
当院の審美治療では、単純に見た目だけをキレイにするのではなく、正常な咬み合わせを作り出し、身体の機能をあるべき状態へ導くことを目的としています。
「美しい」ことと、「健康である」ことは表裏一体のものであり、優れた審美治療とは高次元の機能性を兼ねそろえてます。
単に美しさを求めるのではなく、その目的や役割を下記でご説明いたします。
当院の審美治療では、単純に見た目だけをキレイにするのではなく、正常な咬み合わせを作り出し、身体の機能をあるべき状態へ導くことを目的としています。
「美しい」ことと、「健康である」ことは表裏一体のものであり、優れた審美治療とは高次元の機能性を兼ねそろえてます。

お悩みQ&A
お悩みやご不安をお持ちではありませんか?あなたのお悩みをお聞かせ下さい!
|
歯並びが悪く恥ずかしいので人前で思い切り笑えない。
|
|
セラミック矯正による自然な歯並びで自信の持てる素敵な笑顔になれます。 |
|
お口の中が銀歯だらけで、最近問題の金属アレルギーにならないか心配。
|
|
金属を一切使わない材質を使用することで金属アレルギーの予防になります。 |
|
審美治療をしたいけど、高額なのに欠けたり壊れたりしたらどうなるの?
|
|
クラウンは5年間インレーは3年間の長期無料保証で安心です。 |
|
いろんな歯医者でいろんな治療をしたら噛み合わせが悪くて肩が凝る。
|
|
噛みあわせ診断・治療を行いポジションを回復します。 |
|
保険のプラスチックで詰めたところが変色したり段差ができて困った。
|
|
ハイブリッドセラミック充填法により変色しにくく段差ゼロの詰め物になります。 |
|
かなり昔に神経を抜いた歯がどんどん黒ずんできた。
|
|
天然歯に近いセラミッククラウンで隣り合う歯と違和感のない色調と形態になります。 |
|
審美治療をしたけれど仕上がりのクオリティーに不満がある。
|
|
仕上がりチェックカウンセリングを行いご満足いくまで徹底的な治療をお約束します。 |
|
歯を失った所にブリッジを入れたけど最近、歯と歯の間に食べ物が挟まる。
|
|
歯のない部分をインプラント治療にしてそれぞれ単独の歯にしてあげる方法もあります。 |
自費診療の料金
セラミッククラウン <歯全体を被せる冠> 5年保証
◆ジルコニアオールセラミッククラウン(プレミアム)
国内最高峰のジルコニアフレームを使用します。3層構造で透明感や立体感に優れ、自然な色調が可能です。また単独歯でも隣在歯の色調と完全に同調させることが可能です。【お勧めの部位】前歯・全ての部位

| 強度 | 変色 | 治療費 |
| ★★★★★ | なし | 22万円/1本 |
※表示料金は全て税込です。
◆ジルコニアオールセラミッククラウン(スーペリア)
ジルコニアフレームにノリタケ製セラミックを焼き付けたもので、2層構造で透明感や立体感に優れ、自然な色調が可能です。また技工士の手作業によるグラデーション加工が可能です。【お勧めの部位】前歯・全ての部位

| 強度 | 変色 | 治療費 |
| ★★★★★ | なし | 18万7千円/1本 |
※表示料金は全て税込です。
◆オールジルコニアクラウン(ベーシック)
人工ダイヤモンドと言われる強靭な強度で破折の可能性が少ないです。マルチレイヤー仕上げで、グラデーション加工が可能。また金属アレルギーの心配がありません。【お勧めの部位】小臼歯・大臼歯

| 強度 | 変色 | 治療費 |
| ★★★★★ | なし | 15万4千円/1本 |
※表示料金は全て税込です。
セラミックインレー <奥歯の部分的な詰め物> 3年保証
◆E-MAXセラミックインレー
長期にわたって変色がないのが特徴ですが、部位によっては割れることもあります。| 強度 | 変色 | 治療費 |
| ★★★★ | なし | 7万7千円/1本 |
※表示料金は全て税込です。
治療の流れ
1. カウンセリング・診断
患者様のお悩みやご要望を細かくお伺いします。レントゲン撮影や口腔内精密検査(歯周病検査や噛み合わせの診査など)、歯型模型の採取など必要な諸検査を行います。
2. 治療説明・計画
初回の検査結果を踏まえて患者様に最適な治療プランを複数ご用意し、治療の内容、ご費用や治療期間についての詳細なご説明をします。処置が複雑な場合には、ご説明を複数回行うこともございます。3. 初期治療
虫歯や歯周病など機能障害を取り除く治療を優先して行います。疾患を取り除いてから審美治療を開始します。
4. デンタルエステ
PMTC(プロフェッショナル・メカニカル・トゥース・クリーニング)やホワイトニングを必要に応じて行います。5. 歯の形成・型取り
最小限の歯の切削と高精度シリコンによる精密型取りを行います。6. 装着
ご納得のいく色や形態に仕上がっているかの確認を患者様と一緒にさせていただきます。ご満足いただけない場合には何度でも修正が可能です。
7. メンテナンス
クリニックより定期検診のご案内をさせていただきます。清掃状態などの確認や付着した歯石や汚れも定期的にクリーニングを行い、美しい状態を継続させます。
審美治療 主なリスク・副作用など
医療広告ガイドラインに基づき、審美治療についてのリスク・副作用について記述いたします。
当院では、下記のようなリスクや副作用が起こらないよう、事前診査・診断、治療計画をしっかりと行い、安全性を重視した治療を心がけております。
◆審美治療は、自費診療となり健康保険対象外です。
◆金属単体のインレー・クラウンより若干、歯の体積を削る量が多いことがあります。
◆個人差により、ごく稀に欠けたり壊れる可能性があります。
◆事前に根管治療や歯周組織の治療を行う必要がある場合があります。
◆咬み合わせ・歯ぎしりの強い方は、破損防止のためにマウスピースをお勧めします。
当院では、下記のようなリスクや副作用が起こらないよう、事前診査・診断、治療計画をしっかりと行い、安全性を重視した治療を心がけております。
◆審美治療は、自費診療となり健康保険対象外です。
◆金属単体のインレー・クラウンより若干、歯の体積を削る量が多いことがあります。
◆個人差により、ごく稀に欠けたり壊れる可能性があります。
◆事前に根管治療や歯周組織の治療を行う必要がある場合があります。
◆咬み合わせ・歯ぎしりの強い方は、破損防止のためにマウスピースをお勧めします。










